Hành Trình Niềng Răng Mắc Cài Của 004210221
Hình ảnh khác trong quá trình



Các giai đoạn điều trị
Khám phá chi tiết quá trình thay đổi nụ cười
Tình trạng ban đầu
Thăm khám & Chẩn đoán
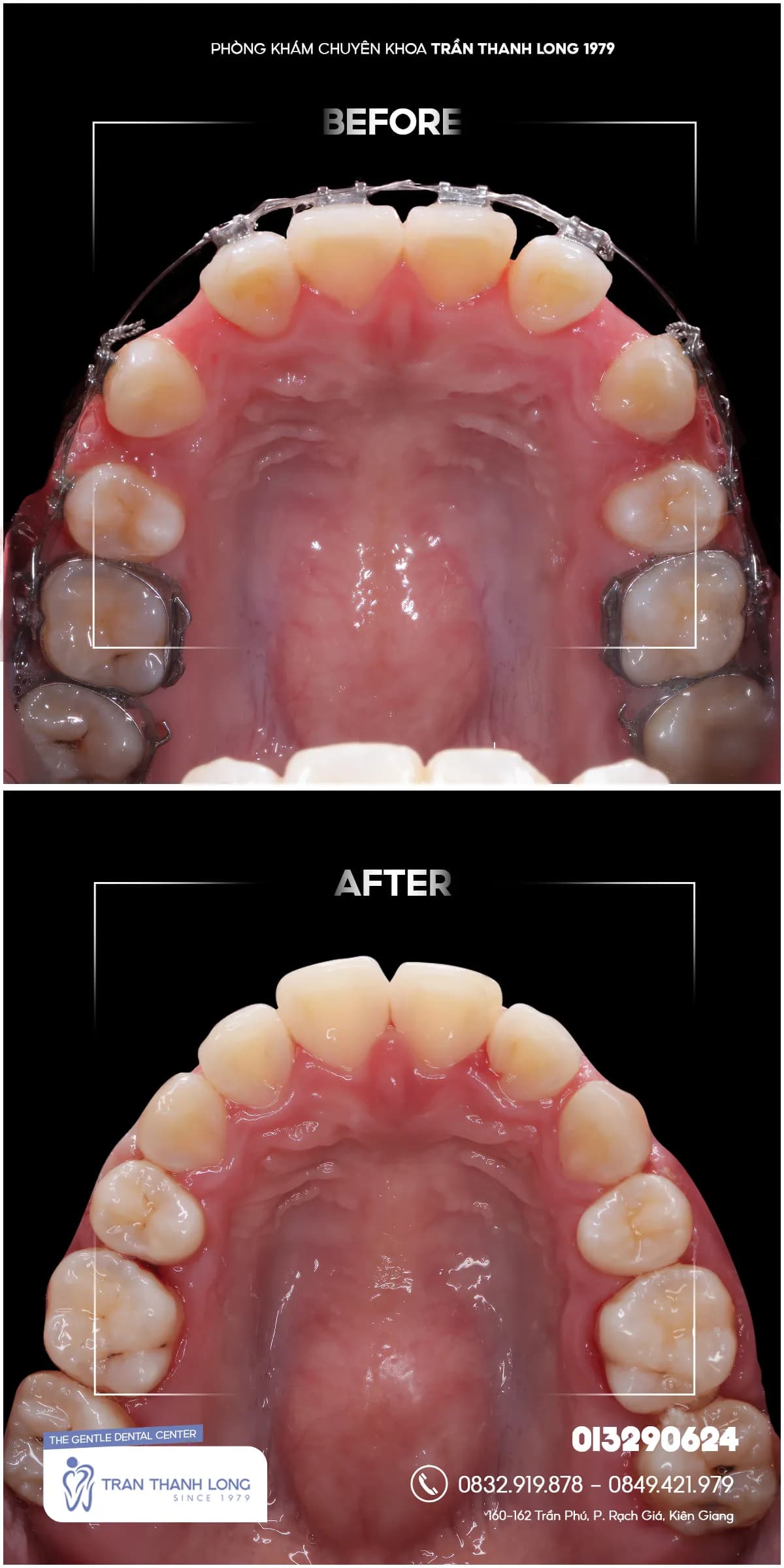
Hô và chen chút
Khớp cắn chìa
1 răng số 3 có xu hướng đẩy ra ngoài
Cung hàm hẹp
Thiếu khoảng
Tạo khoảng
Nhổ răng tạo khoảng di chuyển cho các răng
Nhổ 4 răng cối nhỏ để tạo khoảng cách thực hiện di chuyển răng về đúng khớp cắn và vị trí.
Gắn Vis
Gắn vis cố định vào xương hàm
Minivis có tác dụng là hệ thống neo chặn, tác động lực kéo nhóm răng về hướng chỉ định.
Gắn khâu
Đặt thun tách kẻ & gắn khâu tạo kẽ hở để đặt neo chặn
Đặt thun tách kẽ tạo khoảng hỡ giữa các răng cối.
Khi có đủ khoảng hỡ tiến hành gắn khâu vào các răng cối lớn để hoàn thiện hệ thống neo chặn.
Gắn mắc cài
Gắn mắc cài và dây cung theo phác đồ điều trị
Cố định mắc cài & dây cung lên bề mặt răng bằng cement nha khoa.
Sắp xếp răng
Theo dõi & điều chỉnh lực
Giai đoạn này mục đích xoay trục răng, kéo răng về vị trí thẳng hàng.
Đóng Khoảng
Đóng các khoảng hỡ trên cung hàm
Dùng lực đóng kín các khoảng hỡ từ việc nhổ răng tạo khoảng ban đầu để các răng khít sát hơn.
Tinh chỉnh khớp cắn
Điều chỉnh khớp cắn về đúng hướng
Ứng dụng dây chun liên hàm để điều chỉnh vị trí từng răng để có được khớp cắn đúng nhất.
Gắn Attachment tinh chỉnh thêm các chi tiết cần thiết
Tháo vis
Tháo vis đã cố định trong xương hàm
Tháo các minivis đã được cố định trong xương hàm.
Chờ lành thương
Tháo mắc cài
Tháo các mắc cài, dây cung trên toàn bộ khung hàm & gắn nẹp hàm dưới
Tháo các mắc cài, kết thúc quá trình siết răng.
Vệ sinh, đánh bóng bề mặt răng
Gắn nẹp duy trì cho hàm dưới
Duy trì
Đeo khay duy trì và theo dõi
Thiết kế và đeo khay duy trì hàm trên
Tái khám định kỳ để theo dõi kết quả duy trì răng
Bạn có muốn sở hữu nụ cười rạng rỡ tương tự?
Đặt Lịch Ngay
