Bác Sĩ Nha KhoaTrần Phạm Phương Uyên
Khách hàng họ không đến để ‘mua’ một chiếc răng sứ. Điều họ thực sự tìm kiếm là một cuộc đời đáng sống. Với vai trò của một nhà điều hành, mục tiêu không chỉ là đào tạo kỹ năng, mà là nuôi dưỡng một thế hệ kế thừa trọn vẹn y đức, kỷ luật và khát vọng phát triển không ngừng được truyền lại như một dòng chảy bền vững.

Về Bác Sĩ Nha Khoa Trần Phạm Phương Uyên
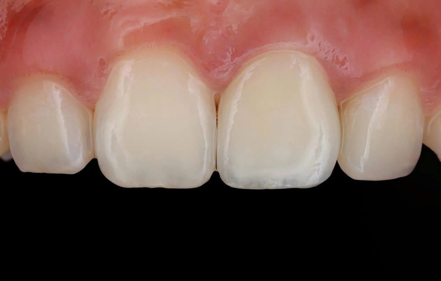
Bác sĩ Phương Uyên là người tiên phong xác lập mô hình Digital Dental Spa – nơi mỗi dịch vụ không chỉ là điều trị mà là một hành trình chăm sóc tinh tế, nhẹ nhàng và khác biệt. Bằng sự kết hợp giữa công nghệ số tiên tiến nhất và tư duy chăm sóc cá nhân hóa, bác trực tiếp khẳng định đẳng cấp nha khoa hiện đại, nơi mỗi nụ cười được kiến tạo từ sự chuẩn xác tuyệt đối và tâm huyết trọn vẹn.
Với vai trò Giám đốc điều hành, bác dẫn dắt đội ngũ phòng khám bằng tầm nhìn dài hạn, tư duy chiến lược, công nghệ và sự tử tế. Định hướng mỗi nhân sự phát triển đúng lộ trình cá nhân, cùng nâng tầm giá trị và tận hiến.
Lĩnh vực chuyên sâu
Ứng dụng nha khoa kỹ thuật số trong chẩn đoán và điều trị
Là một trong số ít các bác sĩ trẻ có năng lực kết hợp hiệu quả giữa kỹ thuật lâm sàng và kỹ thuật chế tác phục hình labo, với hơn 4 năm kinh nghiệm triển khai nha khoa kỹ thuật số trong thực hành điều trị. Định hướng điều trị tập trung vào bảo tồn tối đa mô răng thật, hạn chế xâm lấn không cần thiết.
Phục hình bắt vít trên implant với sứ Zirconia nguyên khối và Sứ lai
Từ năm 2023, bác sĩ đã ứng dụng thành công kỹ thuật phục hình sứ Zirconia nguyên khối trên implant theo phương pháp bắt vít - một phương pháp được nghiên cứu là giúp tái tạo lại hàng rào sinh học, ngăn ngừa và hạn chế viêm quanh implant.
Kỹ thuật Air Polishing – vệ sinh răng không xâm lấn
Bác sĩ được biết đến là một trong những người tiên phong trong việc triển khai và chuẩn hóa quy trình vệ sinh răng bằng công nghệ Air Polishing thành công tại Việt Nam, góp phần nâng tầm dịch vụ lấy vôi răng truyền thống trở thành một trải nghiệm chăm sóc răng miệng cao cấp, nhẹ nhàng và hiệu quả hơn cho khách hàng.
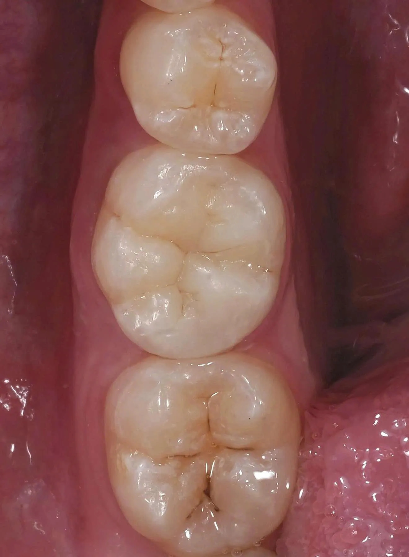
Phối hợp lâm sàng – labo, tối ưu kết quả phục hình, bảo tồn tối đa
Tư duy điều trị bảo tồn, cá nhân hóa theo từng bệnh nhân. Có thương hiệu phôi Sứ Zirconia và Sứ lai riêng.
Thư viện nghệ thuật
Không chỉ là thẩm mỹ mà còn là nghệ thuật.








